Online Consultation

Acute Appendicitis



Acute appendicitis / Laparoscopic appendectomy

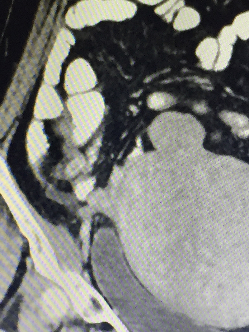
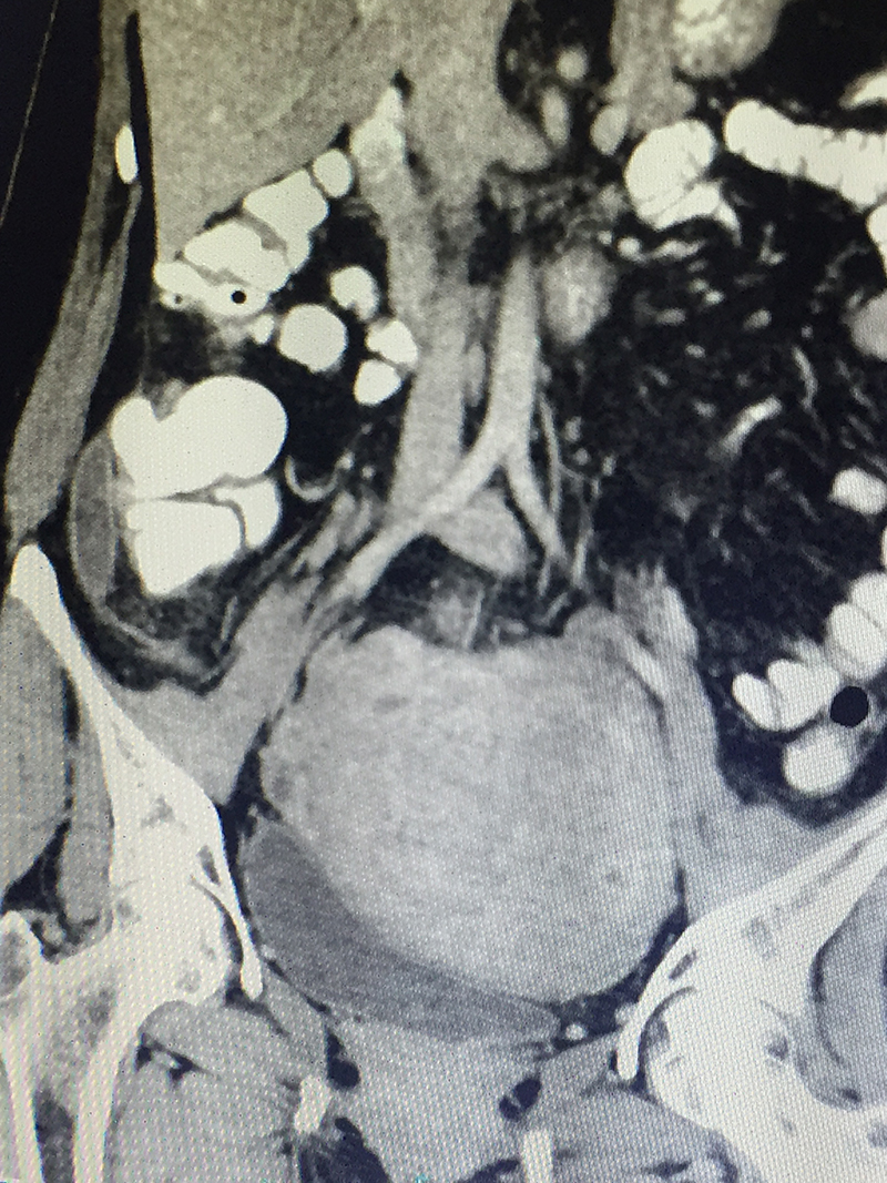
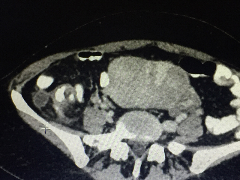
50 year old lady with acute abdominal pain in the right lower abdomen, vomiting and fever was diagnosed with acute appendicitis. Preliminary blood investigations & ultrasonography corroborated the diagnosis. A CT scan of the abdomen and pelvis was done to confirm the diagnosis & look for complications like perforation & abscess. An acute appendicitis with localized perforation & infected fluid collection was observed. She also had a large fibroid in her uterus. As is our policy (most acute appendicitis patients are treated by laparoscopic surgery), patient underwent a laparoscopy. At the time of laparoscopy, a perforated gangrenous appendix was found with a large walled off pus collection in the abdomen. The huge fibroid made the surgery difficult since it kept on coming in the line of surgery. However the appendicectomy was successfully completed laparoscopically and patient was discharged on 4th postoperative day. Due to the existing infection, a hysterectomy for the fibroid was not performed at the same time. It was done later after few months.

Acute appendicitis is a surgical emergency, which if not treated / operated early can result in complications. Typical symptoms are acute abdominal pain, vomiting and fever. However not everyone will have classical symptoms. Some patients have colicky pain, dull pain, back pain, loose motions, urinary complaints, bloating depending on position of appendix & severity of attack. If associated with complications like perforation then patient may present with severe sepsis or even abscesses in liver. Patient presents late if he/she does not reach a doctor on time or diagnosis is missed. This may lead to a lump formation in the abdomen due to the efforts of body’s defense mechanisms trying to control / prevent spread of infection. If appendix perforates, it can lead to a local walled off collection / abscess or generalized peritonitis or sepsis.

The disease is more common in children and young adults. However it can occur in elderly patients too. It can occur as part of an infective process in the intestine or a stool particle (fecolith –stool stone) / worm / infective process / cancer growth obstructing the lumen of the appendix.

When there is a clinical suspicion of acute appendicitis, he / she is subjected to blood (CBC / CRP) investigations and imaging study (Ultrasonography). Severe colitis / enteritis / mesenteric lymphadenitis, ileal perforation, intestinal tuberculosis, inflammatory bowel disease, colonic diverticulitis, pericolic appendagitis, Meckel’s diverticulum etcetera can have present with similar symptoms and signs. Some of these diseases can be managed with medicines alone. Hence a CT scan of abdomen and pelvis with oral and intravenous contrast is advised before any surgery is planned for appendicitis. CT scan not only confirms diagnoses, but also reveals complications like perforation, abscess etcetera or an alternative diagnosis or associated malignancy (as in elderly patients).

Once acute appendicitis is confirmed, an emergency surgery is planned unless there are specific indications like lump formation, patient on anticoagulation / antiplatelet (aspirin / warfarin / clopidogrel / epixaban / rivaroxaban / ticagrelor) medications as has been a situation in 2 of our patients; to delay the surgery. Surgery in a patient on anticoagulants has risk of intra / post operative bleeding. The appendicectomy is usually performed laparoscopically unless there is lack of expertise available or the intraabdominal situation is very grim like generalized peritonitis. In such situations an open abdominal exploration is performed. Laparoscopic surgery has advantage of less pain, small scar, rapid recovery and extremely low risk of wound infection. These are major problems with open surgery.

Most patients will recover smoothly after a laparoscopic appendicectomy and will be discharged by 2nd-3rd postoperative day. Few may take longer to recover due to preexisting inflammation-infection. In these patients intestines take longer time to recover its movements. Rarely patients can have complications like intraabdominal infected fluid collection & blowout of the ligated stump of appendix, which needs a re-surgery.

Rarely a patient may require something more than simple appendicectomy. If the inflammation-infection-gangrene-perforation process has extended beyond the base of appendix onto the cecum (initial part of large intestine), patient may need removal of a small portion of cecum / colon (partial colectomy). In such situations patient will take longer to recover, stay longer in hospital, has higher risk of complications and expenses are more.

Appendicitis if picked up very early and in milder form may sometimes respond to antibiotic treatment alone. Such patient may or may not have symptoms in future. Patients, who go on to have symptoms like recurrent colicky abdominal pain due to the kinks / adhesions developed due to previous attack finally need surgery (elective / interval appendicectomy).

Patients diagnosed with an appendicular lump are initially managed with antibiotics. Such patients are advised to undergo an elective / interval appendicectomy 6-8 weeks later when the inflammation has completely subsided / lump has settled.

Patients with a walled off abscess due to gangrenous perforated appendix are sometimes managed with initial percutaneous drainage and surgery is performed if necessary later.


Acute Appendicitis

acute appendicitis treatment

acute appendicitis complications

acute appendicitis case study

Book an Appointmnt



For more information on Liver, Gall bladder and Pancreatic surgery work done by Dr.D.R.Kulkarni,

Visit: www.liverandpancreasclinic.com


online doctor

online doctor