
Challenging Situations In Chronic Pancreatitis
45 year old gentleman with recurrent abdominal pain on the background of alcohol intake was diagnosed to have chronic pancreatitis with pancreatic calculi and was referred to LPC for further management. On further investigation he was found to have an otherwise uncommon type of chronic pancreatitis known as groove pancreatitis and cystic duodenal dystrophy.
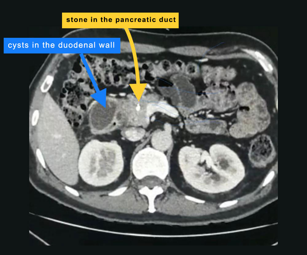
These patients peculiarly develop inflammation between head of pancreas and adjoining duodenum (groove). The rest of pancreas develops changes of mild chronic pancreatitis like mild duct dilatation and occasional stone in the duct. However major changes are in the groove. In the advanced form of this problem, there is severe fibrosis in the groove which may lead to the narrowing of bile duct and duodenum leading to jaundice and bowel obstruction. Similarly there can be narrowing of or clotting in the portal vein which carries blood from intestines to liver. Sometimes pancreatic cancer starts in this inflammation and is very difficult to diagnose even after extensive investigations. In rare situation there are cystic changes in the wall of the adjoining duodenum also called as cystic dystrophy. It is very uncommon form of chronic pancreatitis. We happen to have treated groove pancreatitis and cystic dystrophy both before and reported it in the international journal.
This problem is especially associated with patients having alcohol abuse and our gentleman had developed significant cystic dystrophy of duodenal wall causing abdominal pain and vomiting (due to luminal obstruction).
Patient with chronic pancreatitis are often advised surgery. Depending on the pattern of disease it is either a Frey procedure with or without additional biliary drainage procedure and gastro jejunostomy for head dominant disease or distal pancreatectomy in body / tail dominant disease. However patients with cystic duodenal dystrophy and groove pancreatitis are better served with a Whiple operation (Pancreato duodenectomy) which we otherwise reserve for pancreatic cancer.
After all necessary investigations like CT scan, MRCP and EUS, he was scheduled for a Whiple procedure. To our surprise we came across a very unusual situation for this disease. The major artery providing fresh blood to liver was completely caught in the groove inflammation and was inseparable. In cases with cancer, we occasionally resect and reconstruct the artery where possible. However in this patient the involvement was so much that an attempt at reconstruction would have resulted in sacrificing blood supply to stomach and spleen increasing risk of postoperative complications and risk to life manifold. After lot of unsuccessful effort to free the artery followed by a lot of brainstorming over possible options, we improvised the operative plan which though not ideal, was safer for patient and simpler to execute. We removed part of cyst wall after opening the duodenum (duodenotomy) and sutured the edges of the cyst to duodenal lining thus allowing drainage. We also joined the stomach with the small intestine for a safe passage for food. We expected a stormy recovery in view of difficult dissection around hepatic artery. As anticipated there was bleeding from hepatic artery in the postoperative period. Since the team was very watchful, it was quickly picked up and managed by angiography and stenting. The clots developed after bleeding can get infected. This was also managed by insertion of drains and antibiotics. Patient recovered gradually and was sent home. He is now symptom (pain and vomiting) free and on regular diet. The reason the modified procedure is not ideal is that the stones in the duodenal groove are still there and the risk of cancer and other complications in the groove remain especially if patient continues to drink alcohol.
This case is an example of how difficult pancreatic surgeries can be in chronic pancreatitis.