Online Consultation

Gallbladder cancer



Complex Cholecystitis (xanthogranuloma) or gall bladder cancer

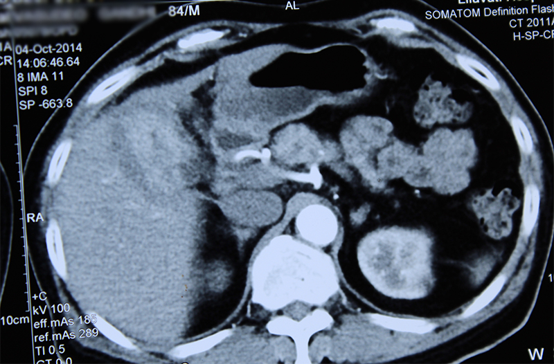
84 year old gentleman with a suspicious gall bladder- liver mass, gall stones & mild jaundice was operated. Biopsies and blood tumor marker levels (CA19-9) were normal on multiple occasions. Hence a decision of surgery was taken after counseling the family. Repeat biopsy was done during the surgery. It also showed only inflammation. Hence the entire mass including gall bladder, portion of liver, part of colon, lymph nodes and bile duct was removed. The final histopathology showed xanthogranulomatous cholecystitis; a pathology that mimics cancer. The patient is now 90 year old.

Gall stones and associated chronic inflammation of gall bladder is a high risk factor for gall bladder cancer especially in Indian patients. However sometimes the chronic inflammation leads to thickening of walls, a mass formation, narrowing of bile ducts, jaundice, appearance of cancer on CT scan / MRI. Except that it may not be cancer. This situation is more seen in patients with advanced age as in our patient who has the stones and ongoing inflammation over many years. However middle aged patients with longstanding stone disease may also have the same issue.

Why is it important clinical issue?

Xanthogranulomatous cholecystitis is usually a postoperative diagnosis. Till the patient is operated it is treated as gall bladder cancer unless proved otherwise due to clinical / imaging findings. It is very difficult to prove or disprove the cancer even by biopsies. Many patients are old, so suggesting a major surgery as required for gall bladder cancer is very difficult. This is especially because gall bladder cancer has very poor outcomes and tolerating a major surgery for gall bladder cancer at advanced age is difficult. At the same time giving up without proof of cancer is also difficult. It is a very difficult dilemma for doctors and relatives both. The problem is worse when the appearance suggests that major blood vessels supplying liver & surrounding organs are engulfed in the mass or patient has jaundice.

What is the important message for the reader?

It is important to obtain the proof of cancer. If repeated biopsy is negative, tumor marker levels are normal and patient is clinically fit as was in our case, it is worth taking a chance for surgery. If intraoperative biopsy shows cancer with large mass and surrounding organ involvement, one should not proceed with a major surgery in patient with advanced age. But the same cancer surgery should be done if patient is young and fit.


gallbladder cancer

gall bladder stones

Book an Appointmnt



For more information on Liver, Gall bladder and Pancreatic surgery work done by Dr.D.R.Kulkarni,

Visit: www.liverandpancreasclinic.com


online doctor

online doctor