
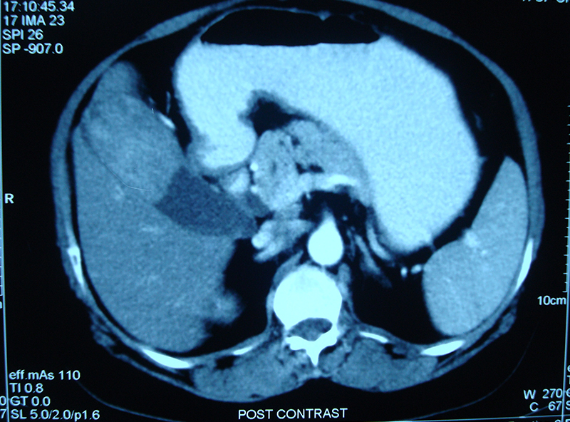
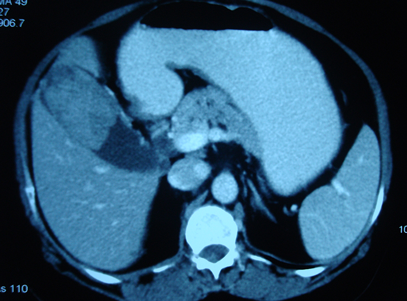
45 year old lady with abdominal pain, loss of appetite and weight was diagnosed on investigations to have a large gall bladder mass. She underwent a curative radical resection involving the gall bladder, part of liver, bile duct and lymph nodes. The bile duct was joined to a loop of intestine. The opened specimen of gall bladder showed a large mass and multiple gall stones. The mass was a gall bladder cancer (adenocarcinoma) on final histopathology. Patient continues to live happily for more than 5 years after surgery without any chemotherapy. To know more about gall bladder cancer click here