Online Consultation

GI cancer surgery



colon cancer

GI cancer surgery in patient on blood thinners

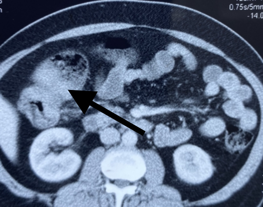
68 year old gentleman with history of abdominal pain, constipation & bloating was diagnosed with a tumor of right side of colon during investigations. The colonoscopic biopsy confirmed a colonic cancer. Incidentally the patient had suffered from a heart ailment (myocardial infarction- heart attack) 3 months back and underwent an angioplasty with stent placement with cardiology team. Unfortunately the anemia which was present then went untreated.

When the patient was refereed to us with the diagnosis of colonic cancer, the anemia was also looked at carefully. It was iron deficiency anemia due to blood lost in the stool from colon cancer. The anemia had probably precipitated the heart attack considering the fact that patient did not have diabetes, hypertension or dyslipidemia. Now the patient was in need of an early surgery due to impending intestinal obstruction from the lumen occluding colonic tumor but was on two blood thinners (medicines used to prevent platelets from coming together to avoid stent blockade). Operating patient on blood thinners makes surgery (especially a supramajor GI surgery) a very difficult proposition considering the fact that surgeon wants to at least stop one blood thinner medication to reduce perioperative bleeding complications, but this increases the risk of cardiac complications. Also the anemia needed attention preferably avoiding blood transfusion. Blood transfusions have shown to increase risk of tumor metastasis.

colonic cancer
colonic tumor

The treatment was started with intravenous iron therapy to replenish rapidly the iron stores in the body and thus boosting the hemoglobin levels. At an appropriate time prior to surgery stronger blood thinner was withheld and patient was subjected to surgery. A radical excision of right colon along with its draining lymph nodes was done (CME – Complete mesocolic excision). Small intestine was joined to the distal colon to establish intestinal continuity. The patient did exceedingly well and was discharged on 7th postoperative day without any complications. The surgery was done without any blood transfusion. Patient has been advised to undergo chemotherapy based on the final histopathological staging of the tumor.

To know more details about colorectal cancer click here.

Important points:

  1. Iron deficiency anemia due to blood lost in stools is often the precipitating cause of a heart attack especially in male patients with colorectal cancer before the cancer is diagnosed. Hence heart attack patients with anemia should be carefully investigated for cause of anemia if it is present.
  2. Anemia should preferably be tackled prior to surgery with replacement of iron rather than blood transfusion. Blood transfusions is avoided wherever possible.
  3. Patients on blood thinners and requiring major abdominal surgery are at a higher risk, hence should be managed only in institutions with expertise to handle both issues i.e. risk of bleeding and risk of stent blockade. Walking a tightrope!!!! The goal is to avoid bleeding and avoid stent thrombosis.
  4. It is important to do a complete mesocolic excision with all the draining lymph nodes and without the breach in the peritoneal cover; to achieve an excellent long term survival free of tumor recurrence.

Book an Appointmnt



For more information on Liver, Gall bladder and Pancreatic surgery work done by Dr.D.R.Kulkarni,

Visit: www.liverandpancreasclinic.com


online doctor

online doctor