
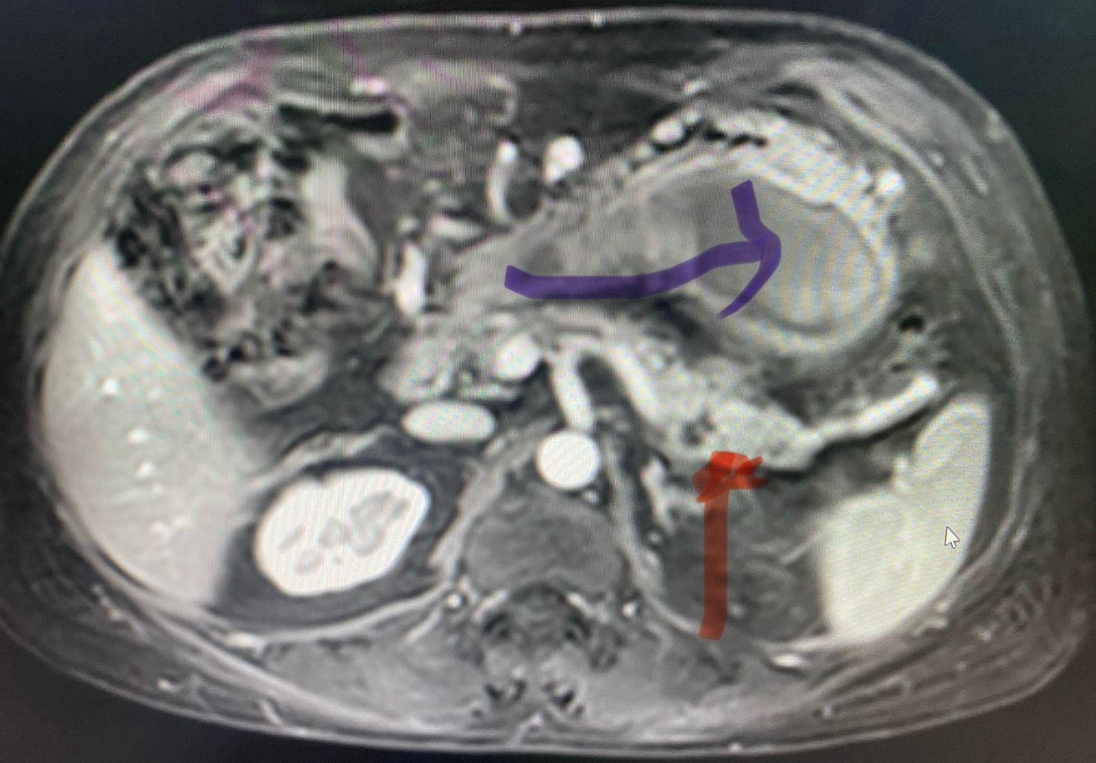
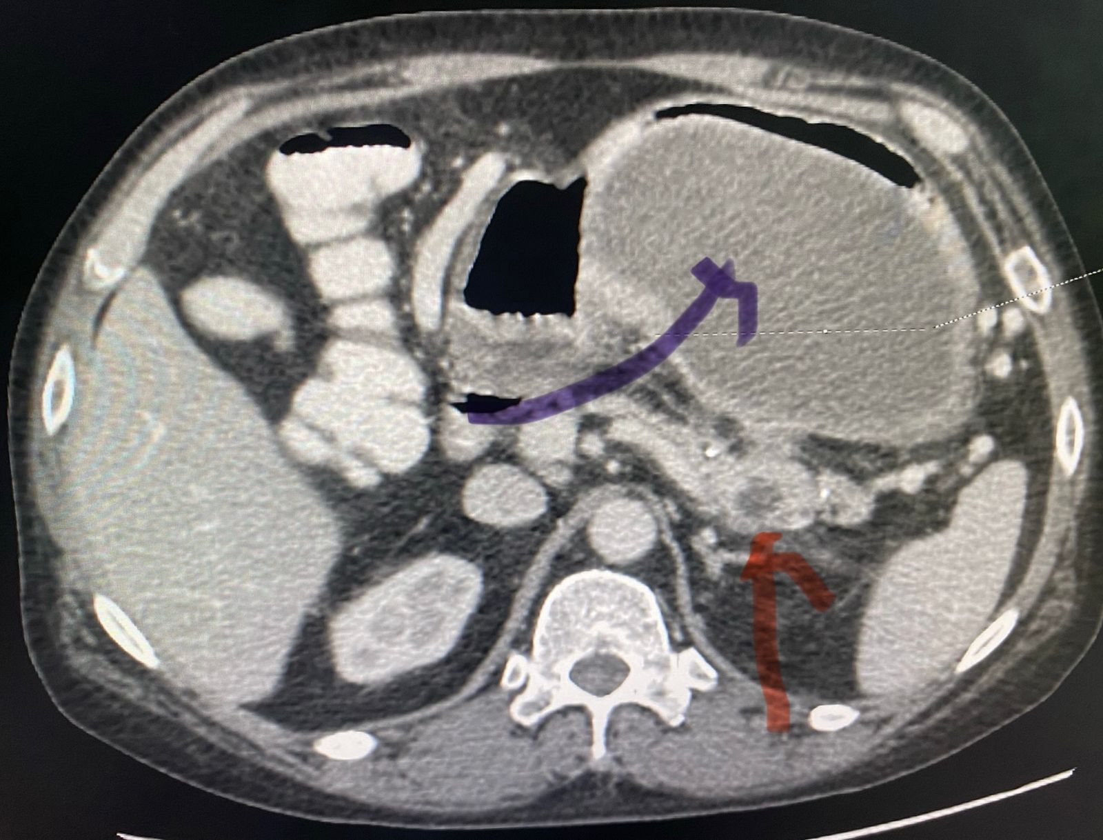
A 54 year old gentleman presented with acute abdominal pain since 5 days accompanied by vomiting. His investigations revealed a suspicious pseudo cyst of pancreas on ultrasonography and CT scan of the abdomen. A careful re look of the CT scan followed by an MRCP suggested a leak from pancreatic duct at the junction of body and tail of the pancreas. This had led to formation of a pseudo cyst (image - pseudo cyst : blue arrow, duct leak area - red arrow).
Since the cyst was in close approximation to the posterior wall of the stomach and had a well formed walk it was decided to do a cystogastrostomy. In view of the size, location, wall thickness and approximation to stomach; it was ideal for laparoscopic surgery. Patient underwent an uneventful laparoscopic surgery. He was discharged on 3rd postoperative day.
When all the factors are favourable as in this case, laparoscopic surgery gives excellent results. A similar procedure is possible in cases of pancreatic necrosis for transgastric removal of the necrotic pancreas provided patient is chosen wisely.