Online Consultation

Giant recurrent abdominal wall



LIVER CANCER

Intrahepatic cholangiocarcinoma

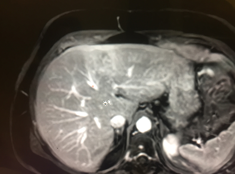
78 year old lady with abdominal pain was diagnosed to have liver cancer (cholangiocarcinoma) in the left side of liver. The tumor was in a curative condition and she was fit to undergo the major surgery (left liver resection). She underwent a left hepatectomy uneventfully & was discharged on 6th postoperative day. She is  enjoying life 3 years after surgery.

Liver cancer can be of many types; Hepatocellular cancer (HCC), Cholangiocarcinoma (CCA), cancer spread from other sites (metastasis) and uncommon cancers. HCC is more common in patients with cirrhosis / chronic liver disease; however can occur even in noncirrhotic patients . For details on HCC click here. CCA can also occur in both types of patients.

The patient with CCA presents with abdominal pain, weight loss, nausea, jaundice, fever, combination of symptoms or the tumor may be an incidental finding in an asymptomatic patient during an ultrasonography. When a liver tumor is detected on an initial sonography, patient is advised a list of tests which decide stage & type of tumor (CT scan / PET-CT / MRI of abdomen, CEUS – contrast enhanced ultrasound, serum tumor markers like CA19-9, AFP, CEA; percutaneous biopsy is avoided if tumor can be removed surgically & is done only if necessary especially before chemotherapy), liver function & size (liver function tests, fibroscan, MR spectroscopy, CT liver volumetry), patient fitness (echocardiography, stress test, lung function), tests to rule out portal hypertension (endoscopy), viral markers (hepatitis B & C) etcetera.

If investigations show that the tumor can be resected safely leaving adequate liver behind and the patient is medically fit to undergo a surgery; a surgery is planned and the treatment plan is explained in detail to the patient & family. Occasionally a biopsy is necessary & is performed prior to surgery.

The surgery for CCA involves removal a section of liver with good margin of normal liver tissue around the tumor whenever possible. This may lead to a small segment removal, removal of 3-4 segments or extensive removal (sections). For details on liver resection for liver tumor click here


Intrahepatic cholangiocarcinoma

LIVER CANCER

cholangiocarcinoma

cholangiocarcinoma in the left side of liver

Book an Appointmnt



For more information on Liver, Gall bladder and Pancreatic surgery work done by Dr.D.R.Kulkarni,

Visit: www.liverandpancreasclinic.com