
Mesenteric liver tumors involving central part of mesentery around important blood vessels are uncommon. These usually include GIST, NET, desmoid, or sarcomas. These are difficult to resesct, often need intestinal resection and need open surgery to protect important blood vessels. Hence resection of these tumors is considered a challenging surgery. While laparoscopic surgery / Minimally invasive surgery has settled as a routine for many other abdominal surgeries like gall bladder, appendix, colon, spleen etcetera; laparoscopic resection of central mesenteric tumor is still considered to be reserved for few specialist surgeons and centres in the world. We are proud to say that we are part of this select group of surgeons performing laparoscopic central mesenteric tumor resection in appropriately selected patients. We would like to showcase one such patient who recently underwent a laparoscopic resection with us.
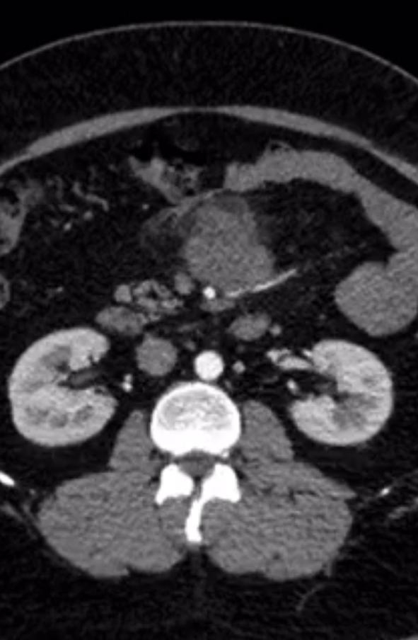
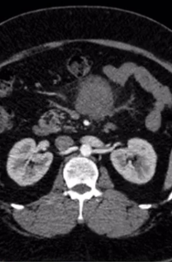
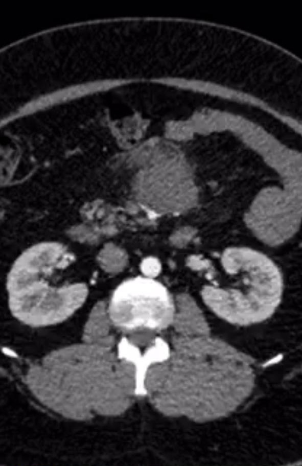
A 45 year old gentleman presented to us with vague abdominal pain. CT showed a large 6-7 cm tumor in the central mesentery sitting on important intestinal blood vessels. A CT guided biopsy proved it to be a sarcoma. The patient was obese but tumor seemed amenable for a laparoscopic surgery wherein the tumor was removed. Patient was discharged by 5th postoperative day.
Laparoscopic mesenteric surgery is ideal in small peripheral located tumors. However can be done even for large tumors close to major blood vessels as in our case depending upon surgeon experience.