Online Consultation

Pancreatic cancer



Pancreatic cancer treatment

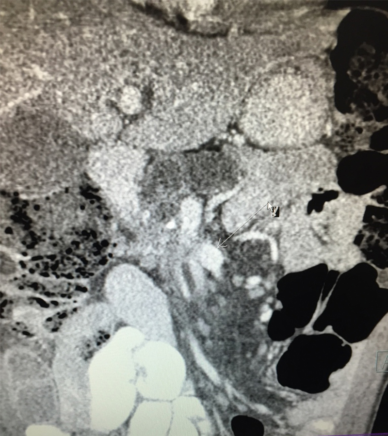
A 54 year old gentleman with long history of alcohol dependence & background of chronic pancreatitis, came with loss of appetite, loss of weight, back / abdominal pain, jaundice and loose motions. On thorough investigations CA 19-9, a tumor marker for pancreatic cancer and bilirubin were significantly elevated. A pancreas protocol computed tomography (CT) of the abdomen revealed a tumor in the head of pancreas in the chronic pancreatitis background. It was compressing / narrowing important gut vein (superior mesenteric vein - SMV). The pancreatic duct and the common bile duct were both dilated due to obstruction. Based on history, tumor markers and CT findings, provisional diagnosis was pancreatic ductal adenocarcinoma (PDAC) with involvement of SMV. There was no sign of any distant metastasis on PET-CT scan. Patient underwent endoscopic ultrasound (EUS) for a biopsy sample. The biopsy confirmed the cancer. A Whiple pancreatoduodenectomy procedure involving removal of cancer bearing portion of pancreas along with part of stomach, bile duct and entire duodenum was removed. Draining lymph nodes were removed. The involved portion of SMV was resected along with pancreas and the vein was reconstructed, a step done in exceptional cases and only by experienced surgeons. Patient recovered uneventfully and was later administered adjuvant chemotherapy. To know more about pancreatic cancer click here

Special points about pancreatic cancer pertaining to this case:

  • This is a borderline resectable pancreatic cancer (where the important gut vein SMV is partially or completely involved
  • Involvement of SMV is not a contraindication for surgery, as long as it is possible to reconstruct the involved vein
  • Few large volume centers and surgeons have the experience & expertise to resect the pancreatic cancer with SMV involvement and then reconstruct the vein.
  • These complex surgical resections and reconstructions are best performed by pancreatic surgeons with considerable experience in vascular reconstruction.
  • In experienced hands, these complex surgical procedures yield good results, with survivals equivalent to cases without vascular involvement, and minimal morbidity related to the vascular resection.
  • In some such cases initially chemotherapy is given and then surgery is performed.

Pancreatic cancer

pancreatitis

chronic pancreatitis

Book an Appointmnt


For more information on Liver, Gall bladder and Pancreatic surgery work done by Dr.D.R.Kulkarni,

Visit: www.liverandpancreasclinic.com